透過像が消失したケース
case1
初回根管治療
1年予後
治療回数1回
case2
初回根管治療
左の透過像の変化(5年予後)
(のちに右も壊死により根管治療)
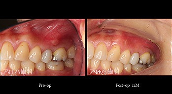
case3
再根管治療
1年予後
1年予後

瘻孔の消失

case4
再根管治療 2年予後
破折器具除去もあり
破折器具除去もあり

再根管治療の汚染の改善

case5
左:頬側よりGP挿入。MB根尖の透過像と一致。
P根にも透過像。穿孔を疑う。
右:術後1年。
P根にも透過像。穿孔を疑う。
右:術後1年。

左:術前
右:術後1年

P根の穿孔封鎖


頬側の瘻孔

破折器具除去症例
case6
破折器具の除去 麻痺の恐れ


case7
MB根 湾曲の先に破折器具

器具の除去

外科的歯内療法
case8
自費の補綴
頬側に瘻孔
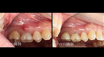
case9
自費の補綴
遠心口蓋側に限局性の深いポケット
上顎洞に波及している。
遠心口蓋側に限局性の深いポケット
上顎洞に波及している。

自費の補綴
遠心口蓋側に限局性の深いポケット
上顎洞に波及している。
遠心口蓋側に限局性の深いポケット
上顎洞に波及している。

case10
左上に腫脹、圧痛

根尖部に透過像

術前、術直後、予後

術前、術後

















